Beijing Huaruikang Technology Co., Ltd     

Company IntroductionCorporate CultureHigh-Throughput Sequencing SeriesPCR SeriesqPCR SeriesReverse Transcription ReagentsEnzyme Reagents SeriesNucleic Acid Extraction SeriesReagentAutomated Workstation TipsManual Pipette TipsCentrifuge Tube SeriesPCR SeriesMicroplate SeriesPlate Sealing Film SeriesScrew-Cap Tube SeriesCell Culture SeriesConsumablesHRK-AS12 Automated Liquid Handling WorkstationInstrumentSTR/SSR microsatellite analysisCell identificationNext Generation sequencing platform serviceReal time fluorescent quantitative PCRFluorescence quantificationWestern BlottingProtein quantification16S species identificationITS qualificationMetagenome sequencingMacrotranscriptome sequencingMicrobiological testingGenome wide methylationTarget region methylation captureMethylation sequencingmRNA sequencingsmall RNA sequencinglncRNA sequencingcircRNA sequencingTranscriptional regulation sequencingWhole genome resequencingFull exon sequencingGenome sequencing
Share to:

Western Blotting

ABUIABACGAAguLnxtQYo34G__wEwhAc4mQQ

                 

   

   

    STR/SSR Microsatellite Analysis

     

    Product Category:Protein Quantification





Product Details


Product Description    ----------------------------------------------------------------------------------------------------------


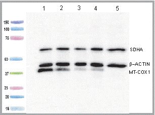
This technique utilizes specific antibodies to stain cells or biological tissue samples that have been separated by gel electrophoresis. The expression levels and localization of specific proteins within the analyzed cells or tissues are determined by examining the position and intensity of the staining.



Contact us
contact QQ:669333272 Contact email:hrky180428@163.com
Recruitment email:hr_huaruikang.com.cn Contact phone number:010-69738937 Contact address:Unit 1, Building 3, Yard 1, Beiqing Road, Changping District, Beijing506
ABUIABAEGAAg4cql8AUo0Mmx3AcwFDgU

11011402010398